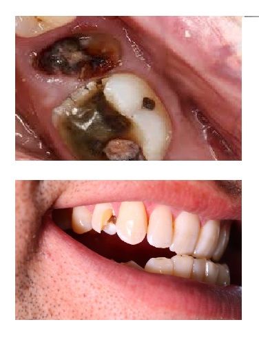
Emergency Tooth Pain Relief in Riverview, FL
Severe or sudden tooth pain in Riverview, FL is a dental emergency that should be evaluated as soon as possible. We provide same-day emergency dental care for patients experiencing intense tooth pain, broken teeth, or urgent dental discomfort.
Common Signs of a Dental Emergency
You may need emergency dental care if you are experiencing:
- Severe or sharp tooth pain
- Pain that does not go away
- Broken or cracked tooth
- Swelling in the gums or face
- Pain when biting or chewing
- Sudden dental trauma

What we treat
- tooth fractures
- severe pain
- lost fillings/crowns

What We Do in a Dental Emergency
Our goal is to quickly identify the cause of your pain and stabilize the situation.
Emergency care may include:
- Exam and diagnosis
- Pain relief treatment
- Temporary or definitive stabilization
- Guidance on next steps for root canal or extraction
We care about getting you in fast
- same-day evaluation
- walk-in availability (if true)
- fast relief focus
- Saturday appointments



